(Minghui.org) Много хора се чудят защо Фалун Дафа има такава чудодейна лечебна сила. Г-н Ли Хонгджи (Li Hongzhi), основателят на практиката, е обяснил причината ясно в своите учения от гледна точка на китайската медицина, западната медицина и пречистването на физическото тяло.
За да помогнем на читателите да разберат тези понятия, бихме искали да представим някои съответни научни открития.
Система за самоусъвършенстване
За връзката между духа и тялото е докладвано многократно в научни списания. В брой от ноември 2004 г. на Разисквания на Националната академия на науките (PNAS) например учени от Университета на Уисконсин съобщават, че „духовното обучение включва времеви интегративни механизми и може да предизвика краткосрочни и дългосрочни невронни промени“. По-конкретно, гама вълните, свързани с по-високи мозъчни функции като познание и памет, са по-активни в медитативно състояние.
Подобна констатация е в съответствие с традиционната китайска теория, както и със съвременните науки. Откритията през последните десетилетия показват, че човешкото здраве включва многостранни елементи на много нива. Всъщност беше предложен нов модел, който да включва взаимодействието на биологията, психологията, социологията и ума. Тоест, даден силен и здрав ум ще окаже положително влияние върху психологическото благосъстояние на човека и социалното му поведение, което от своя страна естествено ще доведе до добро физическо здраве.
Такова разбиране е в съответствие с традиционните китайски медицински теории и истинските методи за самоусъвършенстване на духа и тялото като практиката Фалун Дафа, известна също като Фалун Гонг. С акцент върху съзнанието, Фалун Дафа учи практикуващите да се стремят да живеят според принципите на Истина-Състрадание-Търпение и да стават по-добри хора. Междувременно те правят упражнения - четири стоящи упражнения плюс седяща медитация - които трансформират физическото тяло.
Според ученията на Фалун Дафа практиката не цели да подобри здравето само по себе си. Вместо това тя насочва практикуващите към подобряване на моралния им характер и постигане на ново ниво на хармония между духа и тялото. Тъй като практикуващите подобряват характера си, тяхното здраве също естествено ще се подобри.
До известна степен Фалун Дафа може да се разбира като система за грижа за себе си или самоусъвършенстване. Четейки ученията й и редовно изпълнявайки упражненията, практикуващите стигат до по-добро разбиране на смисъла на живота и са в състояние да приемат леко нещата, които преди са ги притеснявали. Те също така са в състояние да се освободят от негативните мисли и лошите навици. С по-спокоен ум тези с тревожност и депресия също по-лесно се справят със симптомите си. Тези положителни въздействия естествено водят до по-добро физическо и психическо здраве, и укрепват имунитета им срещу болести.
Доказателства на клетъчно и молекулярно ниво
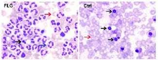
Човешката кръв включва червени кръвни клетки и бели кръвни клетки. Първите носят кислород, а вторите предпазват организма от болести. До 70% от белите кръвни клетки са неутрофили, които са ключови играчи на вродената имунна система, която се бори с неща като възпаления.
Неутрофилите са краткотрайни. Продължителността им на живот е само около 7 часа в кръвта, а извън тялото те живеят само два или три часа. В резултат на това човешкото тяло произвежда 50 до 100 милиарда неутрофили на ден, за да компенсира за мъртвите такива.

Горното изображение показва неутрофили, изолирани от кръвни проби, които са били държани извън тялото в продължение на 16 часа. Изображението вляво е от практикуващ Фалун Дафа, където по-голямата част от неутрофилите са живи и здрави (показани със синя стрелка). Изображението вдясно е от здрав доброволец, чиято по-голяма част от неутрофилите са мъртви (показани с черна стрелка). Червените стрелки показват червените кръвни клетки.
Учени от Медицинския колеж в Бейлор също публикуват статия през 2005 г. в Списание за алтернативна и допълваща медицина. Заглавието на статията е „Геномно профилиране на транскрипти на неутрофили при практикуващи азиатски чигонг: пилотно проучване на генното регулиране чрез взаимодействие между ума и тялото“. Това проучване показва, че в сравнение със здравата контролна група, практикуващите Фалун Дафа са имали генна експресия, която сочи към повишен имунитет и бързо лекуване на възпаления. По-конкретно, неутрофилите на практикуващите са по-мощни при защитата на тялото и имат удължен живот. Тоест, практикуващите се нуждаят само от 20% или 30% от неутрофилите на обикновен здрав човек, за да постигнат същия имунен ефект.
„Повишаването на имунитета чрез практиката ум-тяло може да бъде от полза, но имунният отговор е нож с две остриета и активирането на имунната система може да бъде в ущърб на гостоприемника, когато имунният отговор се поддържа“, пишат авторите. Всъщност това изследване показва „че регулацията, осъществявана от ума и тялото, може да предоставя вътрешен баланс ... което води до ограничаване на самонараняванията“.
Енергийно поле
Други биологични изследвания показват подобни резултати. Група учени в Северна Америка установяват, че мястото за практикуване на Фалун Дафа група повишава контрактилното напрежение на изолирани кардиомиоцити с 35-111%. Това предполага, че има неизвестно енергийно поле, което подобрява имунния отговор.
65-та годишна конференция на Международния съвет на психолозите (ICP) се провежда в Сан Диего през август 2007 г. Психолози от цял свят споделят своите резултати за връзката между психичното здраве и околната среда. Обхватът на изследванията е с цел да насърчи мултикултурните отношения, мира между етническите групи, както и здравето.
Проект, озаглавен „Изследване на клетъчно ниво върху психологическите и физическите лечебни ефекти на Фалун Дафа медитация“, обсъжда ползите от Фалун Дафа на клетъчно, психологическо и енергийно ниво. Ползите включват намаляване на психическия стрес на практикуващите, подобряване на тяхното психическо и физическо здраве, изцеление на болести, подобряване на характера и развитие на човешки потенциал и интелигентност.
В един конкретен експеримент е направена фотография с биоенергия на пръстите на практикуващ Фалун Дафа преди и след едночасова медитация. Снимката е направена с често използвано високо напрежение и висока честота и показва, че практикуването на Фалун Дафа укрепва енергийното поле на хората и подобрява циркулацията на енергия в човешкото тяло.
Експериментът показва, че биоенергията в пръстите на практикуващия се увеличава значително след медитация в продължение на един час, както е показано с по-добра периферна циркулация. Тъй като 10-те пръста са свързани с периферни меридиани и акупунктурни точки, този експеримент показва, че практиката Фалун Дафа отваря меридианите на тялото и увеличава жизнената енергия. Резултатите предоставят научни доказателства за ползите от Фалун Дафа за здравето чрез енергийната медицина и китайската медицина.
Представена на обществеността през 1992 г., Фалун Дафа се практикува от около 100 милиона души в над 100 страни. Тя се основава на принципите Истина-Доброта-Търпение и се състои от пет комплекта упражнения, които са лесни за усвояване.

Пет комплекта упражнения Фалун Дафа
